
ULTRALYDDIAGNOSER
Ultralydscanning er en overordentlig effektiv metode til at undersøge for og diagnosticere et stort antal sygdomme indenfor en lang række specialer.
Her er et overblik over hvad ultralydscanning i særlig grad er velegnet til, som første undersøgelsesmetode. Længere nede på siden, kan du se flere specifikke diagnoser, samt eksempler på ultralydbilleder:
I. Sygdomme i bughulen
- Lever
- Galdeveje
- Bugspytkirtel
- Nyrer
- Binyrer
- Milt
- Retroperitoneum
- Mave-tarm kanal
- Bughulen
-
II. Kønsorganer
- Kvinder
- Mænd
III. Brysthulens sygdomme
IV. Hals
V. Mamma (bryst)
VI. Blodkar
I. Sygdomme i bughulen
Kræft, betændelser, sten, ansamlinger.
Smerter, afføringsændringer, vægttab, gulsot, øget abdominalomfang/voksende bughule, blod i urinen, gentagne urinvejsinfektioner, vandladningsbesvær, gynækologiske urelmæssigheder, blodkarsygdomme, udfyldninger, unormale resultater af diverse blodprøver m.m.
Ved ultralydscanning for sygdomme i bughulen vil samtlige organer og væsentlige strukturer blive undersøgt i samme seance for at opnå et fuldstændigt billede af tilstanden.
1. Lever:
Fedtlever, Skrumpelever, anden diffus sygdom af leverens væv.
Leverkræft/levertumor (primær, HCC), Levermetastase (sekundær), Levercyste, Karnøgletumor, Tropisk leversygdom, Leverabsces (byld), Leverforkalkning m.m.

Normal, med godartet tumor / hæmangiom

Fedtlever

Skrumpelever

Lever kræft
2. Galdeveje:
Galdeblæresten, Sten i galdegangene, Udvidelse af galdegangene, Forsnævring af galdegangene, Bundfald i galdevejene, Galdevejskræft, Afløbshindring fra galdevejene m.m.

Normal Galdeblære

Galdeblærepolyp

Galdeblæresten

Udvidet gang m. sten
3. Bugspytkirtel (pancreas):
Kræft i pancreas/pancreastumor, Kronisk betændelse, Forkalkninger, Pancreascyste, Pancreasblødning, Pancreasbyld, Udvidelse af pancreas’ udførselsgang m.m.

Normal pancreas

Pancreas cyste

Udvidet pancreas gang m. sten

Pancreas kræft
4. Nyrer:
Kræft i nyrerne, Nyrecyste, Nyresten, Afløbshindring af urin fra nyrerne, Akut-og Kronisk sygdom af nyrevævet, Sjældnere nyretumorer m.m.

Nyre med cyste

Nyre med godartet tumor

Nyre med kræftknude
5. Binyrer:
Binyretumor, Cyste, Blødning, metastase til binyrerne m.m.
6. Milt:
Forstørret milt, Proces i milten (lymfeknudesygdomme/metastaser), Miltruptur og Subcapsulær miltblødning (efter slag mod milten) m.m.
7. Retroperitoneum:
Lymfeknudeforstørrelse (lymfeknudesygdom), Tumor/Svulst (primær og sekundær), Retroperitoneal fibrose m.m.
8. Mave-tarm kanal:
Ventrikelkræft, Ventrikelretention, inflammatorisk forandring af tyndtarmen og tyktarmen (Mb. Crohn, Ileitis terminalis, Colitis ulcerosa), Tyktarmskræft, Lymfeknudeforstørrelse i krøset m.m.

Mavesæks kræft

Tyktarms kræft

Bugvægsbrok
9. Bughulen:
Ascites (Væskeansamling), Carcinosis peritonei (spredning af cancer til bughinden).
II. Kønsorganer
1. Kvinder
Kræft i livmoderen, Fibromer i livmoderen, Slimhindefortykkelse i livmoderen (hormonforstyrrelser),
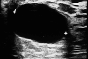
Kræft i æggestokken (ovariecancer), Godartet forstørrelse af æggestokken, Cyste i æggestokkene, Forstørret æggeleder, Ansamling omkring æggestokken m.m.

Normal livmoder

Normal livmoder m. spiral

Æggestok Cyste

Æggestok kræft
2. Mænd
Kræft i testiklen, betændelse i testiklen, betændelse i bi-testiklen, Spermatocele (spermiecyste i bi-testiklen), Varicocele (åreknuder), Hydrocele (vandbrok), sædblærer m.m.
Prostata (blærehalskirtel)
Godartet forstørrelse (volumen-beregning), cyste i prostata, prostatakræft.

Sædbrok

Vandbrok, normal testikel

Forstadie testikelkræft

Testikelkræft
III. Brysthulens sygdomme
Lungehinde (pleura) fortykkelse/cancer, Pleuratumor/svulst, Perifer lungekræft m.m.
IV. Hals
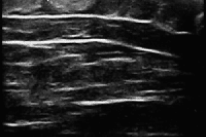
Skjoldbruskkirtelkræft (thyreoideacancer), Struma (diffus eller multiloculær), Skjoldbruskkirtelcyste, Forkalkninger m.m. Spytkirtel tumor, Sten i spytkirtel udførselsgang, Betændelse i spytkirtler.
Halscyste (medfødt vandcyste på halsen)
Lymfeknudeforstørrelse, Metastase fra cancer andet sted.

Normal skjoldbruskkirtel

Skjoldbruskkirtel tumor

Lymfeknude kræft

Halsmetastase fra brystkræft
V. Mamma (bryst)
Ultralyd-mammografi
Brystkræft, Bindevævsforandring (fibroadenomatose), adenom, cyste, betændelse, byld (absces), udvidede udførselsgange m.m. Gynækomasti (mænd).

Fedtknude I bryst

Mamma cyste

Mamma fibroadenom knude

Mamma kræft knude
VI. Blodkar
Åreforkalkning (cholesterolaflejringer i halspulsårene/hovedpulsårene/andre pulsårer), Udvidelse af hovedpulsåren (ectasi/aortaaneurisme), Pulsåreforsnævringer, Blodpropper i pulsårene(arterierne), Blodpropper i blodårene(venerne) specielt i benen, Åreknuder (varicer). Årsag til hævede ben/fødder.

Halspulsåre m. cholesterol plaques

Mamma cyste

Mamma fibroadenom knude

